У Львові хірурги врятували від ампутації руку чоловікові, який майже повністю перерізав її бензопилою

У львівській лікарні святого Пантелеймона медики зберегли руку 37-річному мешканцю Львівщини, який під час заготівлі дров майже повністю перерізав ліве передпліччя бензопилою. Кінцівка трималася лише на клаптику шкіри й була фактично ампутована. Про це повідомили у медзакладі.
Нещасний випадок стався під час роботи з бензопилою – інструмент вислизнув із рук і спричинив важку травму. Дружина постраждалого оперативно наклала імпровізований джгут із тканини та викликала швидку допомогу. Чоловіка терміново доправили до Лікарня святого Пантелеймона у Львові, де його одразу взяли в операційну.
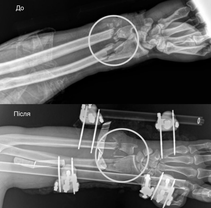
За словами лікарів, травма була критичною: повністю пересічені артерії, пошкоджені кістки, сухожилля, м’язи та нерви. Рука фактично трималася лише на шкірі. За її порятунок узялася велика мультидисциплінарна команда.

Першими працювали ортопеди-травматологи – вони стабілізували переламані кістки передпліччя за допомогою апарата зовнішньої фіксації. Далі судинні хірурги відновили кровопостачання, що стало вирішальним етапом, адже без циркуляції крові тканини швидко змертвіли б.
«Складність оперативного втручання полягала у відновленні всіх структур і, по суті, самої функції руки. Без відновлення кровопостачання рука була б нежиттєздатною і довелося б її ампутувати. Злагоджена поетапна робота мультидисциплінарної команди дала шанс її зберегти», – зазначив завідувач відділення судинної хірургії Андрій Мелень.
Після цього хірурги відновили м’які тканини – ушили пошкоджені сухожилля та м’язи, щоб повернути згинально-розгинальну функцію. Нерви підготували до наступного оперативного втручання, яке заплановане через місяць-два. Завершальним етапом стала аутодермопластика: реконструктивні хірурги закрили дефект власною шкірою пацієнта.
Наразі чоловік проходить реабілітацію. Шкірний трансплантат прижився, поступово відновлюється рух пальців. Медикам вдалося не лише уникнути ампутації, а й дати пацієнтові шанс на повне відновлення функцій руки.
Джерело: Інформаційна агенція «ЛЬВІВСЬКИЙ ПОРТАЛ»
2026-02-26 10:24:00





























