У Львові лікарі врятували чоловіка від миттєвої смерті, видаливши тромб

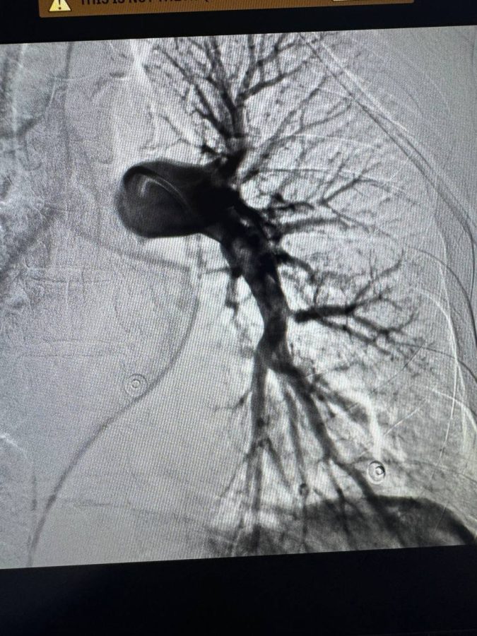
У Лікарні Святого Пантелеймона Першого медоб’єднання Львова вперше у західних областях України провели ендоваскулярну тромбаспірацію – сучасну процедуру з видалення тромбів із легеневої артерії без розтину грудної клітки. Про це повідомили у пресслужбі медзакладу.
Першим пацієнтом став 70-річний львів’янин, який після перенесеного інсульту активно займався спортом. Чоловік звернувся до лікарів через сильну задишку – обстеження показало тромбоемболію легеневої артерії (ТЕЛА), небезпечний стан, що може призвести до смерті за кілька хвилин.
Медики оперативно провели малоінвазивне втручання: тромби видалили через судину під рентген-контролем, без відкритої операції. Увесь час пацієнт перебував при тямі й спілкувався з командою лікарів. Уже на п’ятий день після операції його виписали додому без ускладнень.

Як повідомив завідувач відділення кардіології та реперфузійної терапії Василь Процько, це перші успішні випадки тромбаспірації при ТЕЛА у Львові.
За цим методом фахівці вже врятували життя двом пацієнтам – другим став український військовий, який отримав мінно-вибухову травму.

Джерело: Інформаційна агенція «ЛЬВІВСЬКИЙ ПОРТАЛ»
2025-10-15 10:58:00





























